Ενδονυχίτιδα Αλόγου (laminitis, “λαμινίτιδα”): Διάγνωση & Θεραπεία

ΕΝΔΟΝΥΧΙΤΙΔΑ – Κατανόηση, Διάγνωση και Σύγχρονη Αντιμετώπιση

Η ενδονυχίτιδα (γνωστή και ως λαμινίτιδα) αποτελεί τη σοβαρότερη νόσο της οπλής και μία από τις κυριότερες αιτίες χρόνιου πόνου, μακροχρόνιας μειωμένης κινητικότητας και ευθανασίας σε άλογα, πόνι και όνους. Αναγνωρίζεται ευρέως ως η δεύτερη συχνότερη αιτία θανάτου στους ίππους, μετά τους κολικούς.

Παρά τις σημαντικές προόδους στην επιστημονική έρευνα, η ενδονυχίτιδα εξακολουθεί να αποτελεί μια σοβαρή και συχνά απρόβλεπτη πάθηση, η οποία απαιτεί έγκαιρη διάγνωση, εξειδικευμένη θεραπεία και λήψη αποφάσεων βασισμένη σε επιστημονικώς τεκμηριωμένα δεδομένα.

Τι είναι η ενδονυχίτιδα;

Η ενδονυχίτιδα εμφανίζεται όταν η 3η φάλαγγα χάνει τη σταθερή σύνδεσή της με τα πετάλια που στηρίζουν το εσωτερικό της οπλής. Σε ένα υγιές άλογο, η σύνδεση αυτή σχηματίζει έναν ιδιαίτερα αποτελεσματικό μηχανισμό ανάρτησης. Το εσωτερικό της οπλής τοίχωμα αναδιπλώνεται σε μικροσκοπικές – σαν φύλλα – δομές, τα πετάλια, οι οποίες αυξάνουν σημαντικά την επιφάνεια επαφής και επιτρέπουν την ισχυρή, αλλά ταυτόχρονα ευέλικτη κατανομή του φορτίου.

Όταν διαταραχθεί η ακεραιότητα των πεταλίων, το βάρος του ίππου και οι δυνάμεις λόγω της κίνησης προκαλούν την προς τα κάτω μετατόπιση της 3ης φάλαγγας ή την περιστροφή της εντός της οπλής. Σε σοβαρές περιπτώσεις, η μετατόπιση μπορεί να προκαλέσει ακόμα και διάτρηση του πέλματος. Η επακόλουθη αγγειακή διαταραχή, η ιστική βλάβη και η φλεγμονή προκαλούν έντονο, αδιάλειπτο πόνο και χαρακτηριστική χωλότητα.

Η ενδονυχίτιδα συχνά υποτροπιάζει και μπορεί να οδηγήσει σε μόνιμες ανατομικές και λειτουργικές αλλοιώσεις της οπλής.


Παθοφυσιολογία και Επίδραση της νόσου

Όταν διαταράσσεται η δομική ακεραιότητα των πεταλίων:

✓ Οι αρτηρίες και οι φλέβες συμπιέζονται, προκαλώντας βλάβες στο αγγειακό τοίχωμα.

✓ Το χόριο του πέλματος και της στεφάνης υφίσταται εκτεταμένη ιστική βλάβη.

✓ Η φλεγμονή και η ισχαιμία επιδεινώνουν περαιτέρω την καταστροφή των ιστών.

✓ Αναπτύσσεται προοδευτικά μηχανική αστάθεια στο σύστημα ανάρτησης της 3ης φάλαγγας.

Συνήθως, όταν ένα άλογο εμφανίζει σοβαρά κλινικά συμπτώματα (βαθμοί Obel 3–4), έχει ήδη προκληθεί εκτεταμένη βλάβη των πεταλίων και μετατόπιση της 3ης φάλαγγας, ιδιαίτερα σε περιπτώσεις ενδοκρινικής αιτιολογίας. Αυτό εξηγεί γιατί η καθυστερημένη θεραπευτική παρέμβαση συχνά συνοδεύεται από δυσμενή πρόγνωση.


Τύποι και Προδιαθεσικοί Παράγοντες

Η ενδονυχίτιδα δεν αποτελεί μία ενιαία νοσολογική οντότητα, αλλά ένα σύνδρομο με διαφορετική παθογένεια και κλινική έκφραση.

Οι κύριες κατηγορίες περιλαμβάνουν:

✓ Ενδοκρινικής αιτιολογίας ενδονυχίτιδα

Σχετίζεται με το Μεταβολικό Σύνδρομο των Ιπποειδών και τη Δυσλειτουργία του Διάμεσου Λοβού της Υπόφυσης. Τα άλογα αυτά μπορεί να μην παρουσιάζουν εμφανή ευρήματα συστηματικής νόσου, και η ενδονυχίτιδα συχνά αποτελεί το πρώτο κλινικά αναγνωρίσιμο σύμπτωμα.

✓ Ενδονυχίτιδα σχετιζόμενη με σήψη

Εμφανίζεται δευτερογενώς σε καταστάσεις συστηματικής φλεγμονής, ενδοτοξιναιμίας ή σοβαρής λοίμωξης.

✓ Ενδονυχίτιδα λόγω αυξημένου μηχανικού φορτίου

Αναπτύσσεται όταν ένα άκρο αναλαμβάνει υπερβολικό φορτίο, λόγω τραυματισμού ή αδυναμίας πλήρους στήριξης του ετεροπλάγιου άκρου.

Η αναγνώριση της υποκείμενης αιτιολογίας είναι καθοριστικής σημασίας, καθώς οι θεραπευτικές προτεραιότητες, η πρόγνωση και οι στρατηγικές πρόληψης διαφέρουν σημαντικά μεταξύ των επιμέρους τύπων.


Κλινική Εικόνα

Η Οξεία Ενδονυχίτιδα χαρακτηρίζεται από:

✓ Αιφνίδια εμφάνιση χωλότητας.

✓ Αυξημένη θερμοκρασία της οπλής.

✓ Έντονο σφυγμό στις δακτυλικές αρτηρίες.

✓ Επώδυνη αντίδραση κατά τον έλεγχο με hoof tester.

Η Χρόνια Ενδονυχίτιδα εκδηλώνεται με ποικίλου βαθμού:

✓ Παραμόρφωση της οπλής.

✓ Αποκλίνουσες δακτυλιοειδείς γραμμές στο τοίχωμα της οπλής.

✓ Αλλαγές στο πάχος και στο περίγραμμα του πέλματος.

✓ Εμμένουσα ή διαλείπουσα χωλότητα.

Η διάγνωση είναι συνήθως άμεση στις οξείες, σοβαρές περιπτώσεις, αλλά μπορεί να αποδειχθεί ιδιαίτερα απαιτητική στις χρόνιες ή ήπιες μορφές, ειδικά σε ηλικιωμένα άλογα με συνυπάρχοντα ορθοπαιδικά προβλήματα.


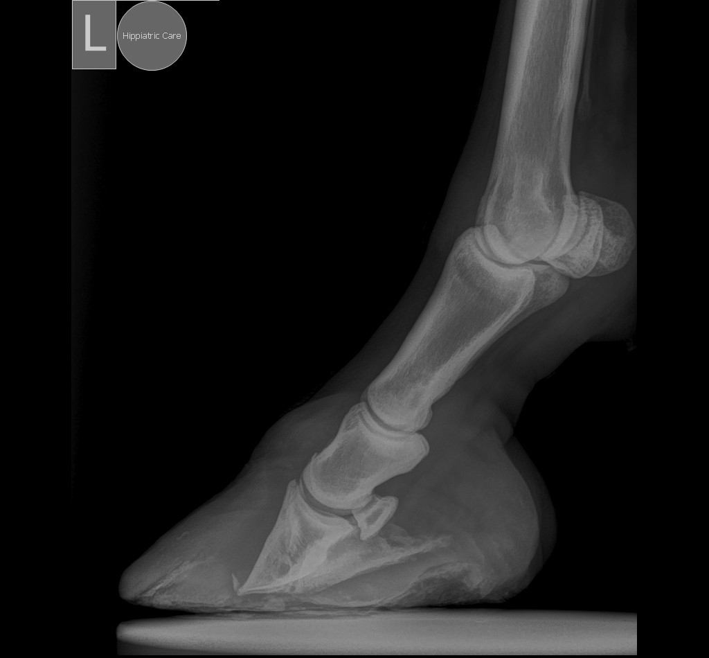
Διάγνωση: Κλινική Εξέταση, Ακτινογραφικός Έλεγχος και Αιματολογικές Εξετάσεις

Η ενδονυχίτιδα δεν μπορεί να διαγνωσθεί ή να αντιμετωπιστεί υπεύθυνα μόνο βάσει της κλινικής εικόνας.

Ο ακτινογραφικός έλεγχος είναι απαραίτητος για:

✓ Την επιβεβαίωση της διάγνωσης.

✓ Τον καθορισμό του βαθμού και του τύπου μετατόπισης της 3ης φάλαγγας.

✓ Την καθοδήγηση για το λιμάρισμα της οπλής και το πετάλωμα.

✓ Την αξιολόγηση της πορείας της νόσου και της ανταπόκρισης στη θεραπεία.

Η φλεβογραφία αποτελεί ένα ιδιαίτερα χρήσιμο εργαλείο για τη διάγνωση και θεραπεία της ενδονυχίτιδας, καθώς επιτρέπει την εκτίμηση της αγγειακής βλάβης εντός της οπλής πριν από την εμφάνιση αλλοιώσεων στις συμβατικές ακτινογραφίες. Η αξία της είναι μεγαλύτερη όταν εφαρμόζεται κατά την έναρξη της νόσου, διότι αποκαλύπτει τον βαθμό της ήδη εγκατεστημένης αγγειακής βλάβης και συμβάλλει στον καθορισμό της κατάλληλης θεραπευτικής στρατηγικής.

Εξίσου σημαντικός, αλλά συχνά υποτιμημένος σε ορισμένες κτηνιατρικές πρακτικές, είναι ο ρόλος του εργαστηριακού ελέγχου.

Παρά τη μεγάλη του σημασία για τη διάγνωση και τη διαχείριση της ενδονυχίτιδας, σε πολλές περιπτώσεις στην Ελλάδα οι αιματολογικές εξετάσεις δεν πραγματοποιούνται ή θεωρούνται περιττές, συχνά λόγω παρωχημένων αντιλήψεων ή περιορισμένης ενημέρωσης. Η διενέργεια στοχευμένων εργαστηριακών εξετάσεων μπορεί, ωστόσο, να διαδραματίσει καθοριστικό ρόλο στην προστασία του αλόγου και στην πρόληψη υποτροπών.

Η κλινική εξέταση, ο ακτινογραφικός έλεγχος και οι εργαστηριακές αναλύσεις αποτελούν συμπληρωματικά και όχι εναλλακτικά διαγνωστικά εργαλεία.

 

Αρχές Θεραπείας: Ατομική Προσέγγιση, Όχι Τυποποιημένη

Ο άμεσος στόχος στην οξεία ενδονυχίτιδα είναι η σταθεροποίηση της 3ης φάλαγγας, ανεξαρτήτως του βαθμού μετατόπισης.

Το σωστό λιμάρισμα και το πετάλωμα πρέπει να καθοδηγούνται ακτινογραφικά και να προσαρμόζονται στις ανάγκες κάθε αλόγου ξεχωριστά.

Δεν υπάρχει «ένα καθολικό πέταλο για την ενδονυχίτιδα».

Οι κύριοι θεραπευτικοί στόχοι περιλαμβάνουν:

✓ Τροποποίηση του κέντρου πίεσης της οπλής.

✓ Ανακατανομή των φορτίων στήριξης.

✓ Μείωση των κραδασμών κατά την επαφή με το έδαφος.

✓ Διευκόλυνση του breakover.

✓ Προστασία των ήδη τραυματισμένων δομών.

Τα άλογα με ραχιαία περιστροφή αντιμετωπίζουν διαφορετικές μηχανικές προκλήσεις σε σχέση με εκείνα που εμφανίζουν κάθοδο (βύθιση) της 3ης φάλαγγας, και η θεραπευτική προσέγγιση πρέπει να αντανακλά αυτές τις διαφορές.


Συχνοί Μύθοι και Επικίνδυνες Παρανοήσεις

Μύθος: «Τα άλογα με ενδονυχίτιδα πρέπει να περπατούν για να βελτιωθεί η κυκλοφορία του αίματος»

Τι ισχύει:
Αυτή η αντίληψη εξακολουθεί να υφίσταται παρά τα σαφή επιστημονικά δεδομένα που την αντικρούουν.
Η καταναγκαστική άσκηση και το περπάτημα ΑΠΑΓΟΡΕΥΟΝΤΑΙ στην οξεία ενδονυχίτιδα, καθώς η κίνηση αυξάνει τη μηχανική καταπόνηση στα ήδη επιβαρυμένα πετάλια, επιδεινώνοντας τη μετατόπιση και τον πόνο.
Σε περιπτώσεις επώδυνης ενδονυχίτιδας επιβάλλεται αυστηρή παραμονή στο στάβλο, βαθιά στρωμνή και ελάχιστη κίνηση.


Μύθος: «Όλα τα άλογα με ενδονυχίτιδα χρειάζονται το ίδιο πέταλο»

 Τι ισχύει:
Η ενδονυχίτιδα αποτελεί μηχανική νόσο της οπλής με πολλαπλές εκδηλώσεις. Η εφαρμογή μιας ενιαίας μεθόδου πεταλώματος σε όλες τις περιπτώσεις είναι ακατάλληλη και δυνητικά επιβλαβής.


Μύθος:
«Τα ηρεμιστικά όπως η ακεπρομαζίνη (ACP) βελτιώνουν τη ροή αίματος στην οπλή και άρα θεραπεύουν την ενδονυχίτιδα»

Τι ισχύει:
Αν και η ακεπρομαζίνη μπορεί να αυξήσει την αιματική ροή σε μεγαλύτερα δακτυλικά αγγεία, οι μελέτες έχουν δείξει ότι δε βελτιώνει τη ροή εντός των πεταλίων. Συνεπώς, δεν πρέπει να θεωρείται θεραπεία της ενδονυχίτιδας, ούτε μέσο προστασίας των πεταλίων.

Η αποτελεσματική διαχείριση της ενδονυχίτιδας βασίζεται σε μηχανική σταθεροποίηση, αυστηρή ανάπαυση και αντιμετώπιση της υποκείμενης αιτίας, όχι στη φαρμακευτική αγγειοδιαστολή.


Θεραπευτικές Παρεμβάσεις

 ✓ Κρυοθεραπεία
Αποτελεί μια αποδεδειγμένη προληπτική στρατηγική για άλογα υψηλού κινδύνου εμφάνισης ενδονυχίτιδας.

Καταναγκαστική άσκηση
Αντενδείκνυται και δεν υποστηρίζεται από επιστημονικά δεδομένα.

Τενοντοτομή του εν τω βάθει καμπτήρα των φαλάγγων
Αποτελεί την πλέον αποτελεσματική από άποψη κόστους διαδικασία διάσωσης σε σοβαρές ή μη ανταποκρινόμενες περιπτώσεις.

Θεραπεία με βλαστοκύτταρα
Χρησιμοποιείται ως συμπληρωματική θεραπεία και έχει δείξει υποσχόμενα κλινικά αποτελέσματα σε επιλεγμένους ασθενείς με ενδονυχίτιδα.

Χρήση κορτικοστεροειδών
Τα τρέχοντα δεδομένα δε δείχνουν σύνδεση μεταξύ ενδοαρθρικών ενέσεων κορτικοστεροειδών και εμφάνισης ενδονυχίτιδας σε άλογα χωρίς συνυπάρχοντες παράγοντες κινδύνου, αν και τα δεδομένα υψηλής επιστημονικής εγκυρότητας παραμένουν περιορισμένα.

Εκτός από τις παραπάνω προχωρημένες παρεμβάσεις, η συνήθης ιατρική αντιμετώπιση περιλαμβάνει την ανακούφιση από τον πόνο με τη χρήση ΜΣΑΦ, την υποστηρικτική φροντίδα (όπως η βαθιά στρωμνή), τον έλεγχο της διατροφής και την προσεκτική παρακολούθηση της κατάστασης.

Τα μέτρα αυτά παραμένουν θεμελιώδη, καλά τεκμηριωμένα και γενικά αποδεκτά στην κλινική πράξη.


Πρόγνωση και Ανάρρωση

Η αποκατάσταση από την ενδονυχίτιδα συνήθως απαιτεί εβδομάδες έως μήνες.

Σύμφωνα με δημοσιευμένες μελέτες:

✓  Περίπου το 72% των αλόγων δεν παρουσιάζει χωλότητα κατά τον τροχασμό μετά από οκτώ εβδομάδες.

 ✓  Περίπου το 60% επιστρέφει στην εργασία.

Η πρόγνωση εξαρτάται από τη σοβαρότητα της νόσου κατά τη διάγνωση, το χρόνο έναρξης της θεραπείας, την υποκείμενη αιτία, καθώς και από την ποιότητα της μηχανικής υποστήριξης και της ιατρικής φροντίδας.


Συμπεράσματα

Η ενδονυχίτιδα δεν αποτελεί απλώς νόσο της οπλής. Πρόκειται για μια πολυπαραγοντική και σύνθετη κατάσταση, η οποία απαιτεί:

✓   Λεπτομερή κλινική αξιολόγηση.

✓  Ακτινογραφικό έλεγχο.

✓  Κατάλληλες εργαστηριακές εξετάσεις.

✓  Ατομικά προσαρμοσμένη διαχείριση για κάθε άλογο.

Παρωχημένες αντιλήψεις και υπεραπλουστευμένες προσεγγίσεις συνεχίζουν να επηρεάζουν δυσμενώς την πρόγνωση.

Στην Hippiatric Care, η ενδονυχίτιδα διαχειρίζεται με τεκμηριωμένη ιατρική, διεπιστημονική συνεργασία και προσήλωση στην ολοκληρωμένη φροντίδα τόσο της οπλής όσο και της γενικής υγείας του αλόγου.

 

Πηγές:

  • Australian Government. Equine Laminitis: Current Concepts.
  • Bailey, S.R., & Eades, S.C.Vasoactive Drug Therapy. In: Equine Laminitis, Chapter 32.
  • Baxter, G.M. (Ed.). Lameness in Horses, 7th Edition. Wiley-Blackwell.
  • Belknap, J.K., & Kames, J. Equine Laminitis.
  • Eastman S, Redden RF, Williams CA. Venograms for Use in Laminitis Treatment. Journal of Equine Veterinary Science, 32(11):757–759, 2012.
  • Morrison, S., Dryden, V.C., Bras, R., Morrell, S. How to Use Stem Cells in Clinical Laminitis Cases.
  • O’Grady, S.E., DVM, MRCVS – Publications on farriery and laminitis biomechanics.
  • Royal Veterinary College (RVC), University of London – Equine Laminitis Resources.
  • Tokawa, P.K.A., Baccarin, R.Y.A., Zanotto, G. (2023). Systematic Review of the Association Between Intrasynovial Corticosteroid Use and Laminitis—What Is the Evidence?

Τα κείμενα και οι φωτογραφίες που εμπεριέχονται στην ιστοσελίδα της Hippiatric Care  αποτελούν προϊόντα πνευματικής ιδιοκτησίας.